Utrata zębów, czy to w wyniku urazu, choroby przyzębia, czy próchnicy, może znacząco wpłynąć na jakość życia. Nie tylko estetyka uśmiechu ulega pogorszeniu, ale także funkcje żucia, mowy, a nawet samopoczucie. Na szczęście współczesna stomatologia oferuje skuteczne rozwiązania, wśród których prym wiodą implanty stomatologiczne. Szczecin, jako dynamicznie rozwijające się miasto, dysponuje wieloma gabinetami stomatologicznymi oferującymi najwyższej klasy zabiegi implantacji. Wybór odpowiedniego miejsca i specjalisty to klucz do sukcesu, jakim jest trwała i estetyczna odbudowa uzębienia. W tym artykule przyjrzymy się bliżej zagadnieniu implantów stomatologicznych w Szczecinie, omawiając ich zalety, przebieg leczenia, kryteria wyboru kliniki oraz odpowiedzi na najczęściej zadawane pytania.
Zabieg wszczepienia implantu jest procedurą chirurgiczną, która polega na umieszczeniu tytanowego elementu w kości szczęki lub żuchwy, który następnie zastępuje korzeń utraconego zęba. Po okresie gojenia, na implancie osadzana jest odbudowa protetyczna, czyli korona, most lub proteza, która przywraca pełną funkcjonalność i estetykę uzębienia. Nowoczesne implanty są wykonane z biokompatybilnych materiałów, co minimalizuje ryzyko odrzucenia przez organizm i zapewnia długoterminową stabilność. Decydując się na implanty Szczecin, można liczyć na dostęp do najnowszych technologii i sprawdzonych metod leczenia, co gwarantuje bezpieczeństwo i satysfakcję pacjenta.
Proces decyzyjny dotyczący implantacji często wiąże się z wieloma pytaniami i wątpliwościami. Dlatego tak ważne jest, aby wybrać klinikę, która zapewnia kompleksową opiekę – od wstępnej konsultacji, przez szczegółowy plan leczenia, po sam zabieg i opiekę pozabiegową. Wielu pacjentów obawia się bólu i długiego okresu rekonwalescencji, jednak dzięki zastosowaniu nowoczesnych technik znieczulenia i minimalnie inwazyjnych metod chirurgicznych, zabiegi te są zazwyczaj dobrze tolerowane, a dyskomfort pooperacyjny jest minimalny. Szczecin oferuje szeroki wachlarz usług stomatologicznych, w tym zaawansowaną implantologię, dzięki czemu pacjenci mogą znaleźć rozwiązanie dopasowane do indywidualnych potrzeb.
Kryteria wyboru najlepszej kliniki implantologicznej w Szczecinie
Wybór odpowiedniej kliniki implantologicznej to kluczowy etap w procesie leczenia. Szczecin oferuje wiele placówek, ale nie wszystkie dorównują sobie pod względem jakości usług, doświadczenia personelu i stosowanych technologii. Zanim podejmiemy ostateczną decyzję, warto zwrócić uwagę na kilka istotnych czynników. Przede wszystkim, należy sprawdzić kwalifikacje i doświadczenie lekarzy specjalizujących się w implantologii. Dobrym wskaźnikiem jest liczba przeprowadzonych zabiegów, staże zagraniczne oraz przynależność do renomowanych stowarzyszeń stomatologicznych. Klinika powinna również dysponować nowoczesnym sprzętem diagnostycznym, takim jak tomograf komputerowy, który pozwala na precyzyjne zaplanowanie zabiegu i ocenę stanu kości pacjenta.
Kolejnym ważnym aspektem jest kompleksowość oferty. Idealna klinika powinna zapewniać pełne spektrum usług, od diagnostyki i planowania leczenia, przez sam zabieg implantacji, po protetyczne odbudowy i ewentualne zabiegi wspomagające, takie jak regeneracja kości czy podniesienie zatoki szczękowej. Ważne jest również, aby klinika stosowała wysokiej jakości implanty renomowanych producentów, co gwarantuje ich trwałość i bezpieczeństwo. Nie bez znaczenia jest także atmosfera panująca w gabinecie oraz podejście personelu do pacjenta – poczucie komfortu i zaufania jest niezwykle istotne, zwłaszcza w przypadku procedury chirurgicznej.
Warto również zasięgnąć opinii innych pacjentów. Internetowe fora, grupy w mediach społecznościowych czy opinie na stronach internetowych klinik mogą dostarczyć cennych informacji na temat doświadczeń innych osób. Nie należy jednak opierać się wyłącznie na pojedynczych opiniach, ale starać się uzyskać szerszy obraz. Poniżej przedstawiamy listę kluczowych czynników, które warto wziąć pod uwagę przy wyborze kliniki oferującej implanty Szczecin:
- Doświadczenie i kwalifikacje lekarzy implantologów.
- Dostępność nowoczesnego sprzętu diagnostycznego (tomograf komputerowy).
- Stosowanie implantów renomowanych producentów.
- Kompleksowość oferty – od diagnostyki po protetykę.
- Opinie innych pacjentów i rekomendacje.
- Przejrzystość kosztów i jasny plan leczenia.
- Gwarancja na wykonane zabiegi i zastosowane materiały.
Przebieg leczenia implantologicznego krok po kroku w Szczecinie

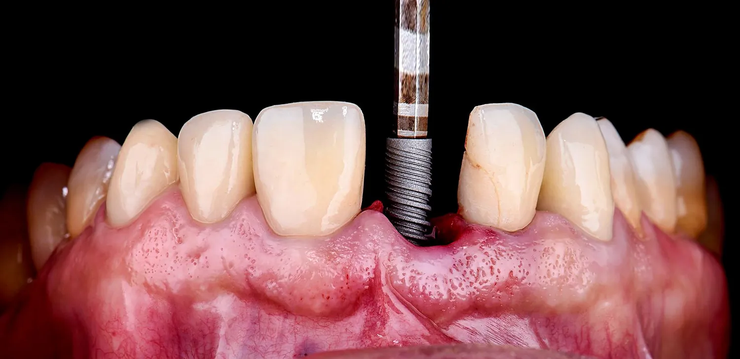
Kolejnym etapem jest zabieg chirurgicznego wszczepienia implantu. Procedura odbywa się w znieczuleniu miejscowym, a w razie potrzeby można zastosować dodatkowe metody uspokojenia pacjenta, takie jak sedacja. Chirurg nacina dziąsło, a następnie przy użyciu specjalistycznych wierteł przygotowuje łoże w kości, do którego wprowadzany jest tytanowy implant. Całość jest precyzyjnie dopasowana do anatomii pacjenta. Po wszczepieniu implantu, dziąsło jest zszywane, a pacjent otrzymuje zalecenia dotyczące higieny i postępowania w okresie gojenia. Następnie rozpoczyna się okres osteointegracji, czyli procesu zrastania się implantu z kością. Trwa on zazwyczaj od kilku tygodni do kilku miesięcy, w zależności od indywidualnych czynników.
Po zakończeniu osteointegracji następuje etap protetyczny. W tym celu implant jest odsłaniany, a na jego wierzchołku montowany jest łącznik, który stanowi podstawę dla przyszłej korony, mostu lub protezy. Następnie pobierane są wyciski protetyczne, które trafiają do laboratorium protetycznego. Tam doświadczeni technicy wykonują indywidualnie dopasowaną odbudowę protetyczną, starając się jak najwierniej odwzorować naturalny wygląd i funkcję utraconego zęba. Po przygotowaniu korony następuje jej ostateczne osadzenie na łączniku. W tym momencie leczenie implantologiczne jest zakończone, a pacjent odzyskuje pełną funkcjonalność uzębienia i piękny uśmiech. Ważne jest, aby po zakończeniu leczenia przestrzegać zaleceń lekarza dotyczących higieny jamy ustnej i regularnych kontroli, co zapewni długowieczność wszczepionych implantów.
Zalety stosowania implantów stomatologicznych dla mieszkańców Szczecina
Decyzja o wszczepieniu implantów stomatologicznych to inwestycja w zdrowie i komfort na lata. Dla mieszkańców Szczecina, którzy borykają się z problemem braku zębów, implanty oferują szereg nieocenionych korzyści, które znacząco poprawiają jakość życia. Przede wszystkim, implanty stomatologiczne przywracają pełną funkcjonalność żucia. Dzięki stabilnemu osadzeniu w kości, pozwalają na swobodne spożywanie ulubionych potraw, bez obaw o przesuwanie się protezy czy dyskomfort. To fundamentalna zmiana, która pozytywnie wpływa na trawienie i ogólne samopoczucie.
Kolejną kluczową zaletą jest poprawa estetyki uśmiechu. Utrata zębów często prowadzi do zapadania się policzków, co nadaje twarzy starszy wygląd. Implanty, wraz z estetycznymi koronami, przywracają naturalne rysy twarzy, wypełniając puste przestrzenie i nadając uśmiechowi młodzieńczy i zdrowy wygląd. To z kolei przekłada się na większą pewność siebie i swobodę w kontaktach społecznych. Warto podkreślić, że implanty są rozwiązaniem długoterminowym. W przeciwieństwie do tradycyjnych protez ruchomych czy mostów, które wymagają okresowej wymiany, dobrze zadbane implanty mogą służyć przez wiele lat, a nawet całe życie, co czyni je ekonomicznym wyborem w perspektywie długoterminowej.
Implanty stomatologiczne mają również pozytywny wpływ na zdrowie pozostałych zębów. Tradycyjne mosty protetyczne wymagają oszlifowania zdrowych zębów sąsiednich, aby stanowić dla nich oparcie. Implanty natomiast są samodzielnymi konstrukcjami, które nie ingerują w naturalne uzębienie. Ponadto, wszczepienie implantu stymuluje kość do regeneracji, zapobiegając jej zanikowi, który często następuje po utracie zęba. Zapobiega to również przesuwaniu się zębów sąsiednich, co może prowadzić do dalszych problemów zgryzowych. Poniżej zebraliśmy najważniejsze korzyści płynące z zastosowania implantów:
- Przywrócenie pełnej funkcji żucia i mowy.
- Poprawa estetyki uśmiechu i wyglądu twarzy.
- Długoterminowe i stabilne rozwiązanie problemu braku zębów.
- Ochrona zdrowych zębów sąsiednich przed szlifowaniem.
- Zapobieganie zanikowi kości szczęki i żuchwy.
- Zwiększenie pewności siebie i komfortu psychicznego.
- Łatwość utrzymania higieny jamy ustnej.
Finansowanie leczenia implantologicznego implanty Szczecin na raty
Kwestia kosztów leczenia implantologicznego jest często decydującym czynnikiem dla wielu pacjentów. Choć implanty stomatologiczne stanowią znaczącą inwestycję, ich długoterminowe korzyści często przewyższają początkowe wydatki. W Szczecinie, podobnie jak w innych większych miastach, dostępnych jest wiele opcji finansowania, które ułatwiają pacjentom podjęcie decyzji o leczeniu. Jedną z najpopularniejszych i najwygodniejszych form jest możliwość leczenia na raty. Wiele klinik stomatologicznych nawiązało współpracę z bankami lub firmami pożyczkowymi, oferując pacjentom możliwość rozłożenia całkowitego kosztu zabiegu na dogodne miesięczne raty.
Procedura uzyskania kredytu ratalnego jest zazwyczaj prosta i szybka. Po ustaleniu planu leczenia i jego kosztorysu, pacjent wypełnia wniosek kredytowy, który jest następnie analizowany przez instytucję finansową. Decyzja kredytowa często zapada w ciągu kilkunastu minut, a środki są przekazywane bezpośrednio klinice. Pozwala to na rozpoczęcie leczenia bez konieczności ponoszenia jednorazowo pełnej kwoty. Ważne jest, aby przed podjęciem decyzji o kredycie dokładnie zapoznać się z jego warunkami, oprocentowaniem, prowizjami oraz okresem spłaty, aby uniknąć nieporozumień i ukrytych kosztów. Szczecin oferuje szeroki wybór klinik, które proponują elastyczne systemy ratalne, dopasowane do możliwości finansowych pacjentów.
Oprócz standardowego finansowania na raty, warto również sprawdzić, czy dostępne są inne formy wsparcia lub promocje. Niektóre kliniki mogą oferować zniżki przy płatności z góry lub pakiety usług w atrakcyjnych cenach. Warto również pamiętać o możliwości odliczenia części kosztów leczenia od podatku dochodowego w ramach ulgi rehabilitacyjnej, jeśli pacjent spełnia określone kryteria. Przed podjęciem jakichkolwiek zobowiązań finansowych, zaleca się szczegółową rozmowę z przedstawicielem kliniki, który wyjaśni wszystkie dostępne opcje i pomoże wybrać najkorzystniejsze rozwiązanie. Dzięki temu leczenie implantologiczne staje się bardziej dostępne dla szerszego grona pacjentów w Szczecinie.
Alternatywne metody odbudowy braków zębowych w Szczecinie
Chociaż implanty stomatologiczne są często uważane za złoty standard w odbudowie braków zębowych, istnieją również inne skuteczne metody, które mogą być brane pod uwagę przez pacjentów w Szczecinie. Wybór odpowiedniej techniki zależy od indywidualnych potrzeb, stanu zdrowia jamy ustnej, liczby brakujących zębów oraz możliwości finansowych pacjenta. Jedną z tradycyjnych metod są protezy ruchome, które mogą być częściowe lub całkowite. Protezy częściowe uzupełniają pojedyncze lub kilka brakujących zębów i są mocowane do pozostałych naturalnych zębów za pomocą klamer lub specjalnych zatrzasków. Protezy całkowite zastępują cały łuk zębowy i opierają się na dziąsłach.
Kolejną popularną opcją są mosty protetyczne. Most składa się z koron protetycznych, które zastępują brakujące zęby, oraz filarów, które są osadzane na zdrowych, oszlifowanych zębach sąsiadujących z luką. Mosty są mocowane na stałe, co zapewnia większy komfort i stabilność w porównaniu do protez ruchomych. Jest to rozwiązanie estetyczne i funkcjonalne, jednak wymaga ingerencji w zdrowe tkanki zębów filarowych. Przed podjęciem decyzji o wyborze metody, warto dokładnie przeanalizować wszystkie dostępne opcje wraz z lekarzem stomatologiem.
Każda z tych metod ma swoje wady i zalety, a wybór ten powinien być zawsze indywidualnie dopasowany do pacjenta. Warto podkreślić, że postęp technologiczny nieustannie rozwija również tradycyjne metody leczenia, oferując coraz bardziej estetyczne i funkcjonalne rozwiązania. Poniżej przedstawiamy przegląd alternatywnych metod odbudowy braków zębowych:
- Protezy ruchome częściowe i całkowite.
- Mosty protetyczne opierające się na zębach naturalnych.
- Protezy szkieletowe z precyzyjnym mocowaniem.
- Wsparcie dla implantów, np. protezy overdenture na implantach.
Choć implanty często oferują najbardziej naturalne odczucia i najlepszą ochronę kości, pozostałe metody mogą być doskonałym rozwiązaniem dla osób, które z różnych względów nie mogą lub nie chcą poddać się leczeniu implantologicznemu. Ważne jest, aby konsultować się z doświadczonym stomatologiem w Szczecinie, który pomoże ocenić wszystkie możliwości i dobrać najodpowiedniejszą strategię leczenia.
Wskazania i przeciwwskazania do zabiegu wszczepienia implantów w Szczecinie
Decyzja o wszczepieniu implantów stomatologicznych powinna być poprzedzona dokładną analizą stanu zdrowia pacjenta. Istnieje szereg wskazań, które kwalifikują pacjenta do tego typu leczenia, ale również pewne przeciwwskazania, które mogą je uniemożliwić lub wymagać specjalnego przygotowania. Głównym wskazaniem do wszczepienia implantu jest brak jednego, kilku lub wszystkich zębów. Implanty są doskonałym rozwiązaniem dla osób, które nie tolerują protez ruchomych, chcą poprawić estetykę swojego uśmiechu, pragną przywrócić pełną funkcjonalność żucia, a także dla tych, którzy chcą zapobiec zanikowi kości po utracie zęba.
Ważnym warunkiem jest również odpowiednia ilość i jakość tkanki kostnej w szczęce lub żuchwie, która zapewni stabilne osadzenie implantu. W przypadku niewystarczającej ilości kości, możliwe jest przeprowadzenie zabiegów sterowanej regeneracji kości, takich jak podniesienie zatoki szczękowej (sinus lift) lub sterowana regeneracja kości z użyciem materiałów kościozastępczych. Kolejnym istotnym czynnikiem jest dobry stan higieny jamy ustnej oraz zdrowie dziąseł. Choroby przyzębia mogą stanowić przeciwwskazanie do implantacji, dlatego przed zabiegiem konieczne jest ich wyleczenie.
Istnieją jednak pewne sytuacje, w których implantacja może być odroczona lub całkowicie niemożliwa. Do głównych przeciwwskazań należą: niekontrolowana cukrzyca, choroby autoimmunologiczne, przyjmowanie niektórych leków (np. bisfosfonianów), niedawno przebyte leczenie onkologiczne w obrębie głowy i szyi, a także silne uzależnienia od alkoholu i nikotyny. Ciąża również jest przeciwwskazaniem względnym, a zabieg powinien zostać odłożony do okresu po porodzie. Ważne jest, aby przed zabiegiem poinformować lekarza o wszystkich istniejących schorzeniach i przyjmowanych lekach, aby zapewnić bezpieczeństwo i skuteczność leczenia. W Szczecinie kliniki implantologiczne dysponują doświadczonym personelem, który potrafi ocenić wszystkie potencjalne ryzyka i zaproponować najlepsze rozwiązanie dla każdego pacjenta.
Okres rekonwalescencji po wszczepieniu implantów w Szczecinie
Po zabiegu wszczepienia implantów stomatologicznych kluczowe znaczenie ma prawidłowy okres rekonwalescencji, który zapewnia skuteczne gojenie i integrację implantu z kością. W Szczecinie, podobnie jak wszędzie, personel medyczny kładzie duży nacisk na edukację pacjenta w zakresie postępowania pozabiegowego. Bezpośrednio po zabiegu pacjent może odczuwać pewien dyskomfort, ból lub obrzęk. Objawy te są zazwyczaj łagodne i można je kontrolować za pomocą przepisanych przez lekarza leków przeciwbólowych i przeciwzapalnych. Zaleca się stosowanie zimnych okładów na zranione miejsce, aby zmniejszyć obrzęk.
Higiena jamy ustnej jest niezwykle ważna w okresie rekonwalescencji. Należy unikać szczotkowania miejsca operowanego przez kilka pierwszych dni, stosując łagodne płukanki antyseptyczne przepisane przez lekarza. Po tym czasie można stopniowo powracać do normalnego szczotkowania, zachowując szczególną ostrożność w okolicy implantu. Dieta w okresie rekonwalescencji powinna być miękka i chłodna. Należy unikać pokarmów twardych, gorących i drażniących, które mogłyby uszkodzić ranę lub zakłócić proces gojenia. Zaleca się spożywanie posiłków takich jak jogurty, zupy kremy, puree, gotowane warzywa czy delikatne mięsa.
Ważne jest również unikanie wysiłku fizycznego, gorących kąpieli i spożywania alkoholu, ponieważ mogą one zwiększyć ryzyko krwawienia i opóźnić proces gojenia. Palenie papierosów jest szczególnie szkodliwe dla gojenia ran i integracji implantów, dlatego zaleca się jego zaprzestanie na czas rekonwalescencji, a najlepiej na stałe. Kolejne wizyty kontrolne w klinice implantologicznej w Szczecinie są niezbędne do monitorowania postępów gojenia i oceny stanu implantu. Lekarz może również usunąć szwy po kilku dniach od zabiegu. Przestrzeganie zaleceń lekarskich jest kluczowe dla zapewnienia sukcesu leczenia implantologicznego i długowieczności wszczepionych implantów.
Konsultacja przed zabiegiem wszczepienia implantów w Szczecinie
Pierwsza wizyta w klinice implantologicznej w Szczecinie ma kluczowe znaczenie dla powodzenia całego procesu leczenia. Konsultacja przed zabiegiem to czas, w którym lekarz stomatolog dokładnie ocenia stan zdrowia pacjenta, omawia jego oczekiwania oraz przygotowuje indywidualny plan leczenia. Proces ten rozpoczyna się od szczegółowego wywiadu medycznego. Lekarz pyta o ogólny stan zdrowia, przebyte choroby, przyjmowane leki, alergie, a także o dotychczasowe doświadczenia z leczeniem stomatologicznym. Jest to niezwykle ważne, ponieważ niektóre schorzenia lub leki mogą stanowić przeciwwskazanie do implantacji lub wymagać specjalnego podejścia.
Następnie przeprowadzane jest badanie jamy ustnej. Lekarz ocenia stan dziąseł, pozostałe zęby, jakość i ilość tkanki kostnej szczęki i żuchwy. W celu dokładnej oceny stanu kości, zazwyczaj konieczne jest wykonanie zdjęć rentgenowskich, a najczęściej tomografii komputerowej. Tomografia pozwala na uzyskanie trójwymiarowego obrazu struktur kostnych, co umożliwia precyzyjne zaplanowanie umiejscowienia implantu, omijając ważne struktury anatomiczne, takie jak nerwy czy zatoki szczękowe. Po zebraniu wszystkich niezbędnych informacji, lekarz omawia z pacjentem możliwe opcje leczenia. Przedstawia zalety i wady poszczególnych rozwiązań, w tym implantów, mostów czy protez ruchomych.
Jeśli pacjent zdecyduje się na implantację, lekarz prezentuje szczegółowy plan leczenia, który obejmuje liczbę implantów do wszczepienia, rodzaj odbudowy protetycznej, harmonogram wizyt oraz prognozowany kosztorys. Jest to również doskonały moment dla pacjenta, aby zadać wszelkie nurtujące go pytania dotyczące zabiegu, okresu rekonwalescencji, bólu czy potencjalnych powikłań. Kliniki w Szczecinie przykładają dużą wagę do transparentności, dlatego lekarze starają się udzielić wyczerpujących odpowiedzi. Po zaakceptowaniu planu leczenia i kosztów, pacjent może umówić się na termin zabiegu.
Rodzaje implantów stomatologicznych dostępnych w Szczecinie
Współczesna implantologia oferuje szeroki wybór systemów implantologicznych, co pozwala na dopasowanie rozwiązania do indywidualnych potrzeb każdego pacjenta. W Szczecinie dostępne są implanty wykonane z najwyższej jakości materiałów, głównie z tytanu, który charakteryzuje się doskonałą biokompatybilnością i wytrzymałością. Tytan jest materiałem obojętnym dla organizmu, co minimalizuje ryzyko reakcji alergicznych i odrzucenia implantu. Różnorodność dostępnych systemów implantologicznych wynika przede wszystkim z odmiennych kształtów, długości, średnic oraz powierzchni implantów, a także z zastosowanych technologii produkcji.
Wśród najczęściej stosowanych typów implantów można wyróżnić implanty dwuczęściowe, które składają się z implantu wszczepianego do kości oraz śruby łączącej go z częścią protetyczną. Są one najczęściej stosowane i pozwalają na szerokie możliwości protetyczne. Istnieją również implanty jednoczęściowe, w których implant i łącznik stanowią jedną całość. Ta opcja jest stosowana rzadziej, głównie w specyficznych sytuacjach klinicznych. Kształt implantu również ma znaczenie – dostępne są implanty stożkowe, cylindryczne, spiralne, a ich wybór zależy od jakości i kształtu kości pacjenta.
Powierzchnia implantu jest często modyfikowana poprzez piaskowanie, trawienie kwasem lub pokrywanie specjalnymi powłokami, co ma na celu przyspieszenie procesu osteointegracji, czyli zrastania się implantu z kością. Producenci implantów, z którymi współpracują kliniki w Szczecinie, to renomowane światowe firmy, znane z wysokiej jakości swoich produktów i długoletnich badań naukowych. Do najpopularniejszych systemów należą między innymi Straumann, Nobel Biocare, Dentsply, Ankylos, a także polskie systemy implantologiczne. Wybór konkretnego systemu implantologicznego zależy od wielu czynników, takich jak doświadczenie lekarza, dostępność części zamiennych, budżet pacjenta oraz specyfika przypadku klinicznego. Lekarz implantolog po przeprowadzeniu szczegółowej diagnostyki dobierze najlepszy rodzaj implantu dla danego pacjenta, zapewniając maksymalne szanse na sukces leczenia.





